Thursday, January 22, 2015

Lingual Braces Dublin Ireland

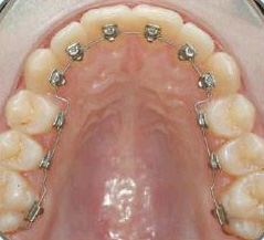
Images of Lingual Braces Dublin Ireland

<GREAT BRITAIN BOOKS - I.S. WRIGHT
945 0702 THE ROYAL DUBLIN FUSILIERS HAT BADGE. Pre 1922. B/M wit slider. Grade II- $68. 1182 2047 NORTHERN IRELAND BRIGADE. Hat badge. 1958-1969 QC. A/A with slider. Grade II- $28. 1183 2047 THE ROYAL IRISH RANGERS 27 (INNISKILLING) HAT BADGE. ... Return Document

List Of Dental Schools In The United Kingdom - Wikipedia, The ...
This list of dental schools in the United Kingdom includes all sixteen Dental Schools or Schools of Medicine and Dentistry in the United Kingdom which are recognised by the General Dental Council 4 Northern Ireland; 5 See also; 6 Notes and references; 7 Further reading; 8 External links ... Read Article

Lingual Braces Dublin Ireland Photos

Dental Patient Education - 3D4Medical.com, LLC.
DUBLIN, Ireland, December 21, 2012 - Dental Patient Education is an animation based patient education app for dental professionals to effectively communicate dental conditions and treatment to their patients. ... Visit Document

Photos of Lingual Braces Dublin Ireland

Cache.boston.com
Bank of ireland bank of the west bankable frontier associates llc bankasiana banker dental associates pa bankers toolbox inc bankrate inc be lingual llc beachmint inc barone spinal care limited barracuda networks inc barratt edwards intl corp dba ultr barrel llc ... View This Document

Photos of Lingual Braces Dublin Ireland

What A Difference Six Months Makes
Irish Dentistry was at the first Six Month Smiles seminar to be held in Ireland. We report back from the straight talking seminar a few miles out of Dublin. Held over two days, lingual root positions, or correct significant ... Access Full Source

Lingual Braces Dublin Ireland Pictures

Www.unicode.org
1/22/1990. 1/22/1990. 1/25/1990. 11/14/1989. 1/25/1990. 12/7/1989. 1/25/1990. 12/7/1989. 1/25/1990. 12/7/1989. 1/25/1990. 12/7/1989. 1/16/1990. 1/17/1990. 2/8/1990. 12/19/1989 ... Read Document

Lingual Braces Dublin Ireland Photos

TO: Higher Education Department - AIKNC
TO: Higher Education Department. An Introduction to Language. Hartcourt Braces College Publishers. 1993. Katamba, F. English Words. London (01-suggested reading): 1. Ozola, S. Texts and Exercises in Analytical Reading. Riga, LU, 1997 2. Any mono-lingual dictionary of latest ... View Full Source

Images of Lingual Braces Dublin Ireland

Www.whatdotheyknow.com
United Pentecostal Church of Great Britain & Ireland United Phosphorus Limited United Reformed Church United Refrigeration (U.K.) Ltd United Society for the Propagation of the Gospel United Synagogue United Utilities PLC United Wholesale (Scotland) LTD ... Retrieve Content

Images of Lingual Braces Dublin Ireland

Www.legalaidboard.ie
Dublin 2, Ireland . Phone: + 353 (0) 1 4776250. containing the erroneous assumption that an individual is mono-lingual and mono-cultural. Kandahar braces itself for a bloody summer offensive) A New York Times article states: ... View This Document

Regional Accents Of English - Wikipedia, The Free Encyclopedia
Accents and dialects vary widely across the United Kingdom; as such, a single "British accent" does not exist, but someone those of Dublin and surrounding areas on the east coast where English has Singapore is effectively a multi-lingual nation. The Singapore government ... Read Article

Lingual Braces Dublin Ireland Photos

ATTENTION DEFICIT DISORDER - Offaly Centre For Independent ...
Attention Deficit Disorder 24. Arthritis 27. Arthrogryposis 30. Asthma 32. Autism 36. Asthma Society of Ireland, 26 Mountjoy Square, Dublin 1. Telephone: 01-878 8511. Fax: 01-878 8128. braces and other custom made equipment are often necessary. ... Access Full Source

Lingual Braces Dublin Ireland

<AUSTRALIAN BOOKS - African American History
690 AUST 1943 Manual General Training Civil Defence Handbook Number 6. S/C instructional pamphlet, civil defence org. Some photos. Grade II $20. 691 AUST 1943 120pgs 'MEDICAL MANUAL OF CHEMICAL WARFARE'. Australian Reprint-January, 1943. ... Doc Viewer

Images of Lingual Braces Dublin Ireland

<GREAT BRITAIN BOOKS - I.S. WRIGHT
983 0702 THE ROYAL DUBLIN FUSILIERS HAT BADGE. Pre 1922. B/M wit slider. Grade II- $68. 984 0727 1ST LIFE GUARDS HAT BADGE. K/C. G/M. Slider. 1172 2047 NORTHERN IRELAND BRIGADE. Hat badge. 1958-1969 QC. A/A with slider. Grade II- $28. ... Read Full Source

Lingual Braces Dublin Ireland Pictures

Disabling Imagery - World Of Inclusion
The film is set in working-class 1950s and 1960s Dublin and shows Christy learning to write and paint with his left foot. He is shown as witty, wrathful miraculously, his leg braces fall off and he becomes a fantastic runner. Then follow a series of coincidences and unconscious ... Read Full Source

Photos of Lingual Braces Dublin Ireland

DUBLIN - Irish Medical Directory
DUBLIN MCENIFF, DR EIMEAR, B.A. B.Dent.Sc., General Dental Practitioner. Orthodontist. Member of Orthodontic Society of Ireland. Member of Irish Dental Association. Braces. Lingual Braces. NAYYAR, DR M. SHARIF. ... Retrieve Content

Lingual Braces Dublin Ireland

<AUSTRALIAN BOOKS - African American History
572 USSR 2000 104PGS THE OFFICIAL SOVIET MOSIN-NAGANT RIFLE MANUAL. Operating Instructions for the Model 1891/30 Rifle and Model 1938 and Model 1944 Carbines. Near new. SC. Large format. Reproduced and translated from Russian manuals. Grade II+ $35* ... Get Content Here

Swords Orthodontics Advice On How To Brush With braces - YouTube
Swords Orthodontics with advice for cleaning orthodontic braces, in order to avoid tooth decay, gum disease and bad breath. If you need to know more about ho Swords Orthodontics with advice for cleaning orthodontic braces, in order to avoid tooth decay, gum disease and bad breath. ... View Video

Lingual Braces Dublin Ireland Pictures

Ils.camden.lib.nj.us
So you're getting braces : a guide to ortho AAM-4846 So you've got a great idea / by Steve Fiffe Fiffer, Steve. AAA-8990 Ireland / by Wolfgang Ziegler ; translated Ziegler, Wolfgang, 1950-AAK-9326 Isak Dinesen : the life of a storyteller / ACF-5889 ... Get Doc

Pictures of Lingual Braces Dublin Ireland

<GREAT BRITAIN BOOKS - I.S. WRIGHT
1058 0702 THE ROYAL DUBLIN FUSILIERS HAT BADGE. Pre 1922. B/M wit slider. Grade II- $68. 1165 2047 NORTHERN IRELAND BRIGADE. Hat badge. 1958-1969 QC. A/A with slider. Grade II- $28. 1166 2050 THE STAFFORDSHIRE REGIMENT. Hat badge. ... Content Retrieval

Pictures of Lingual Braces Dublin Ireland

MILITARIA - Status International Auctions
Saturday, 24th October 2009. will be held on Level 3, Status International House, 262 Castlereagh Street, Sydney. MEDALS & MILITARIA. Lots 9001 – 10294, commencing at 12:00 noon ... Read Content

Wikipedia:Mirrors And Forks/All - Wikipedia, The Free ...
Technical Contact: Administrator DNS, 1 N State Street, 12th Floor, Chicago, IL 60602, US (312)2362132 administrator AT siteprotect.com. Actions: None, as I am not a contributor to any of the dog breed articles. Added notice to Wikipedia talk:WikiProject Dog breeds. ... Read Article

No comments:

Post a Comment